エプーリス Epulis

口腔粘膜疾患

解説

歯肉に生じる非腫瘍性の限局性病変で、歯肉結合組織、歯根膜や歯槽骨膜から発生する。

臨床事項

  • 炎症や慢性機械的刺激などによる反応性増殖物とされる。
  • 唇・頬側の歯間乳頭部歯肉に好発するが、舌側、口蓋側や無歯部の歯肉にも生じる。
  • 20~40歳代の女性にやや多い。
  • 有茎性ないし広基性の腫瘤としてみられる。
  • 表面は比較的平滑で、半球状、結節状や分葉状を呈する。
  • 硬さや色調は組織より異なる。

分類

代表画像

左側下顎前歯部歯肉

  • ガイド無し
  • ガイド有り

左側下顎前歯部歯肉に生じた腫瘤

左側下顎前歯部歯肉に生じた腫瘤(矢印)

右側上顎前歯部歯肉

  • ガイド無し
  • ガイド有り

右側上顎前歯部歯肉に生じた腫瘤

右側上顎前歯部歯肉に生じた腫瘤

分類

肉芽腫性エプーリス

主に肉芽組織の増殖からなる腫瘤で、一部に線維性増殖があり、著明な炎症性細胞浸潤が認められる。

時間の経過とともに炎症細胞は消退し、線維性エプーリスへ移行する。

線維性エプーリス

線維性組織のびまん性増殖が認められる。

血管周囲性に軽度の炎症細胞浸潤が認められる(肉芽腫性エプーリスの陳旧化)。

骨形成性エプーリス

  • ガイド無し
  • ガイド有り

骨様硬組織の形成を伴う線維性組織の増生が認められる。

骨様硬組織の形成(矢印)を伴う線維性組織の増生が認められる。

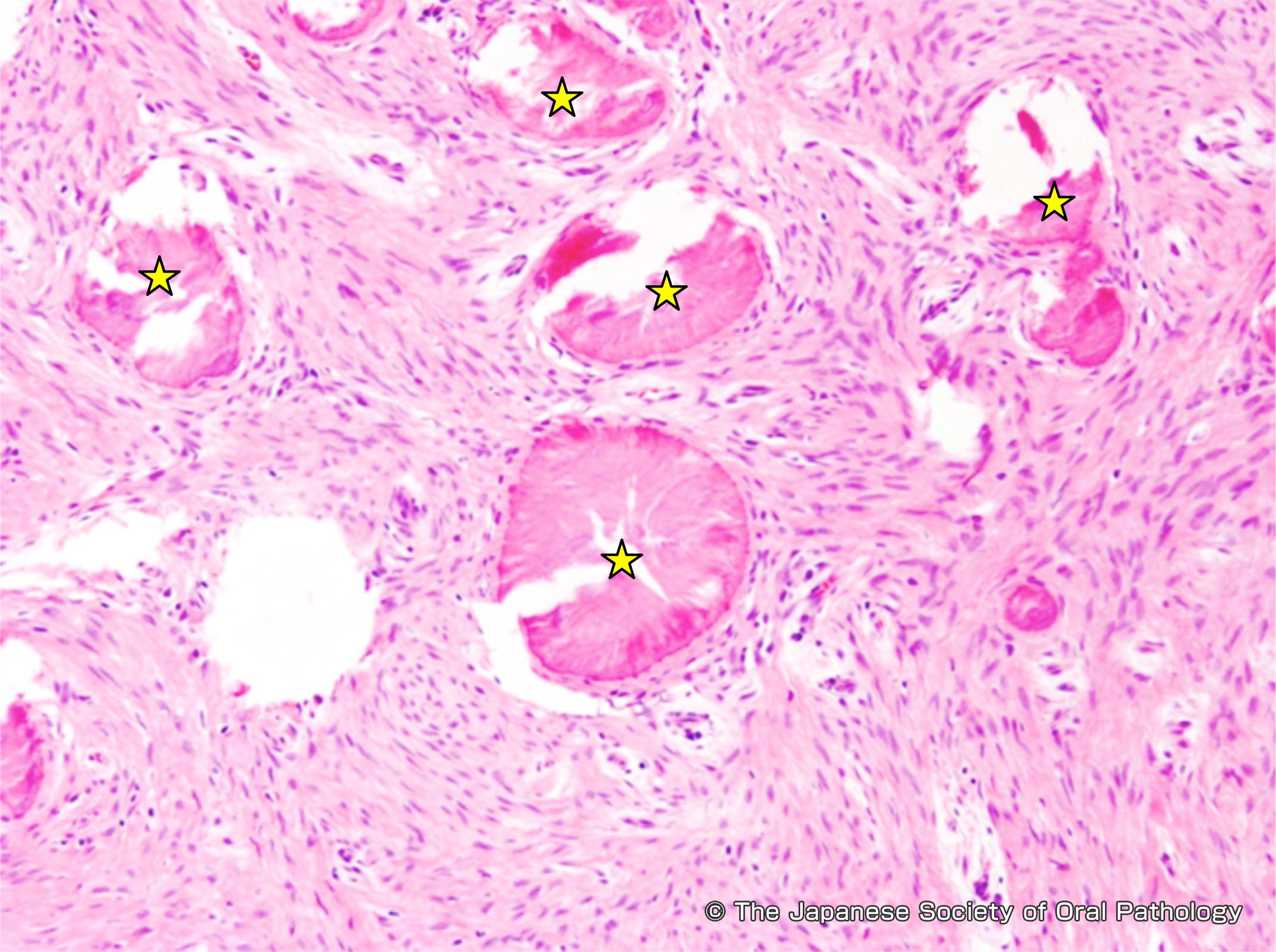
セメント質形成性エプーリス

  • ガイド無し
  • ガイド有り

増生する線維性組織中の小塊状のセメント質様硬組織の形成が認められる。

増生する線維性組織中の小塊状のセメント質様硬組織の形成(★)が認められる。

血管腫性エプーリス

毛細血管の増生が著明で、血管腫に類似する組織像を呈する。

巨細胞性エプーリス

多数の多核巨細胞の出現が認められる。

妊娠性エプーリス

血管増生を伴う線維性結合組織からなり、軽度~中等度の炎症性細胞浸潤が認められる。

血管腫性エプーリスに類似する。

妊娠早期にみられ、分娩後に縮小ないし消失する。

先天性エプーリス

好酸性顆粒を有する大型の細胞が認められ、顆粒細胞腫に類似する。