解説
歯原性の炎症性囊胞で、原因歯は失活あるいは根管治療がなされている。
根尖性歯周炎、歯根肉芽腫などに続発する。
根尖部歯周組織の破壊に対する肉芽組織を介した修復組織である。
臨床事項
- 上顎前歯や下顎第一大臼歯に多い。
- 原因歯は失活歯である。
- 増大すると顎骨の膨隆、皮質骨の菲薄化をきたし、羊皮紙様感や波動を触知するようになる。
病理組織所見
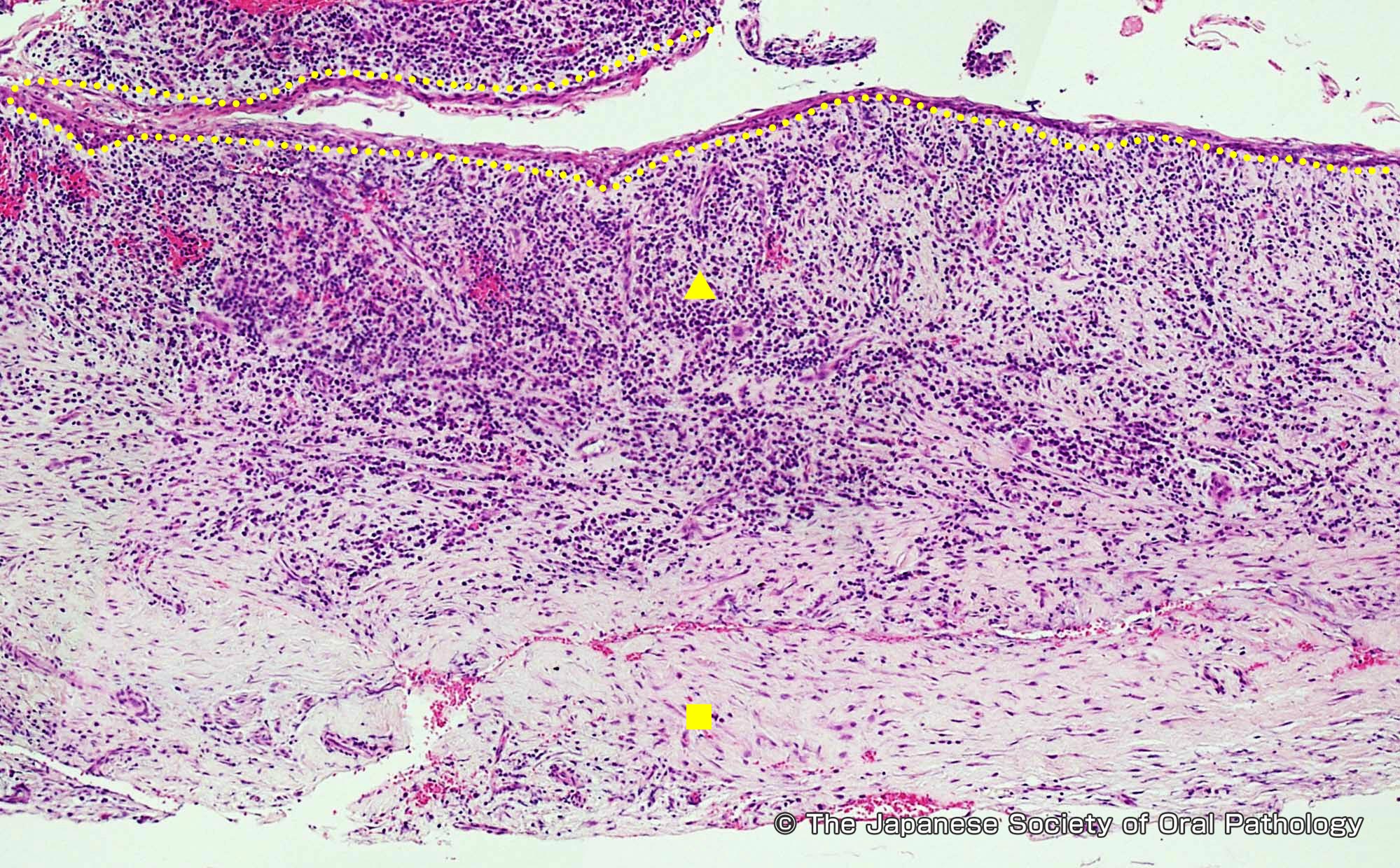
- 内面は非角化扁平上皮で裏装される。
- 上皮下(中層)はリンパ球や形質細胞の浸潤を伴う肉芽組織からなる。
- 外層は線維性結合組織からなり、菲薄化した骨片もみられる。
- 囊胞壁中にはコレステリン裂隙がみられる。
- ラシュトン硝子様小体をみることがある。
- 囊胞壁は原因菌の根尖部に連続する。
鑑別疾患
慢性歯槽膿瘍、歯根囊胞
代表画像
パノラマX線画像
歯根囊胞(弱拡大)
歯根囊胞(中拡大)
- ガイド無し
- ガイド有り







